• Skip to primary navigation
  • Skip to main content
  • Skip to footer

A Decrease font size. A Reset font size. A Increase font size.

256-539-8851

Retina Specialists of North Alabama, LLC

See Your World Clearly


  • Home
  • Physicians
  • Locations
  • Conditions & Treatments
  • Patient Education
  • Contact Us

Click to access the Patient PortalClick to view and download Patient FormsClick here to pay your bill onlineContact Retina Specialists of North Alabama

  • Home
  • Physicians
  • Locations
  • Conditions & Treatments
  • Patient Education
  • Contact Us

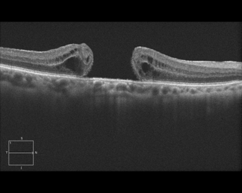
Figure 3c. A full-thickness macular hole is shown using enhanced-depth imaging optical coherence tomography (EDI-OCT). The macula is pulled apart by traction on the surface of the retina. The dark areas represent swelling (retinal edema) from tissue damage. Vitrectomy surgery removes this traction and allows the retina to slide together, closing the gap and restoring the “hole” in the patient’s vision. Image courtesy of the ©ASRS Retina Image Bank, contributed by Mr. Jason Calhoun. Image 7267.

April 25, 2018 By Dandelion Marketing

Figure 3c. A full-thickness macular hole is shown using enhanced-depth imaging optical coherence tomography (EDI-OCT). The macula is pulled apart by traction on the surface of the retina. The dark areas represent swelling (retinal edema) from tissue damage. Vitrectomy surgery removes this traction and allows the retina to slide together, closing the gap and restoring the “hole” in the patient’s vision. Image courtesy of the ©ASRS Retina Image Bank, contributed by Mr. Jason Calhoun. Image 7267.

Footer

Practice

  • Physicians
  • Locations
  • Conditions
  • Contact Us
  • Privacy Policy

Patient Info

  • Patient Portal
  • Patient Forms
  • Pay Bill Online
  • Patient Education
  • Amsler Grid Test

Physicians

  • James B. Byrne Jr. M.D.
  • Scott E. Dorin M.D.
  • Tarek Persaud M.D.
  • Edgar L. Ready IV, M.D.
  • Gavin T. Reed, M.D.
  • Vikram Saini, M.D.

Retina Specialists of North Alabama, LLC

The Ophthalmologists at Retina Specialists of North Alabama are dedicated to providing state of the art medical and surgical treatment of your retinal problems. We are available 24/7 to help you and your loved ones minimize the effects of serious vision problems as quickly and effectively as possible.

Copyright © 2026 Retina Specialists of North Alabama. All Rights Reserved. Web Design & Maintenance by dandelion marketing LLC. Log in